Casos Clínicos
Transformamos tu
Sonrisa
Descubre los increíbles resultados que hemos logrado para nuestros pacientes. La última tecnología y un equipo experto dedicados a tu salud dental.
Resultados Reales
Nuestros Casos de Éxito
Pasa el ratón sobre las imágenes para ver la transformación.


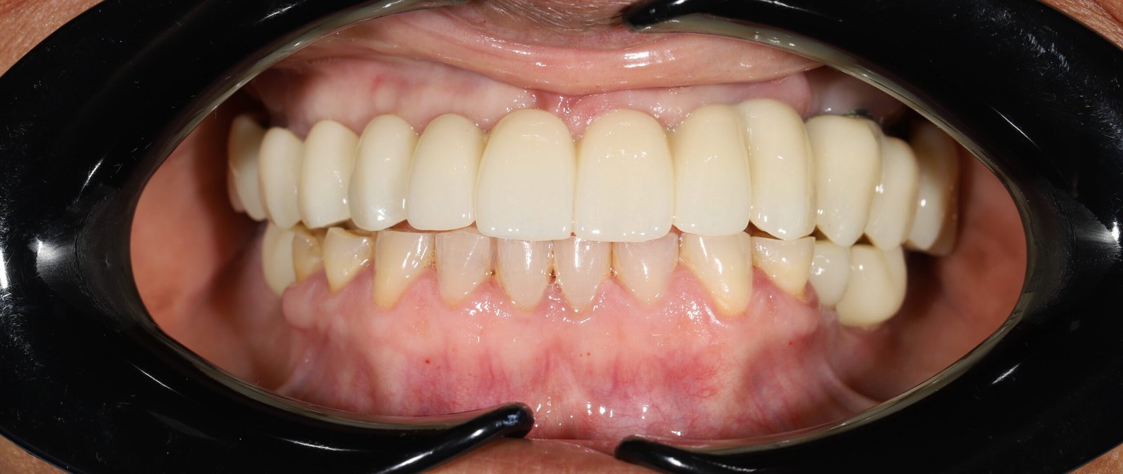
Caso: Rehabilitación con prótesis fija de Zirconio sobre implantes
Le sustituimos un tratamiento previo realizado en otra clínica por una prótesis fija de Zirconio con barra Blender sobre implantes en la arcada superior. Esta rehabilitación le ha permitido recuperar la funcionalidad, la estética y la comodidad, logrando una sonrisa más natural y resistente.


Caso: Rehabilitación completa con sistema Immediate Smile
De una sonrisa deteriorada a una boca completamente funcional y estética en un solo día. Realizamos una rehabilitación integral de ambas arcadas con el sistema Immediate Smile, extrayendo las piezas no viables, colocando 6 implantes por arcada y aplicando carga inmediata para que el paciente saliera con dientes fijos desde el primer momento.
Posteriormente, sustituimos las prótesis provisionales por prótesis definitivas de zirconio con barra Blender, obteniendo un resultado natural, duradero y resistente.


Caso: Rehabilitación completa con sistema Immediate Smile y coronas de zirconio
Realizamos una rehabilitación integral de la arcada superior mediante nuestro sistema Immediate Smile, devolviéndole la función y estética en un solo día. En la arcada inferior, rehabilitamos los dientes con coronas de zirconio y reemplazamos los molares mediante implantes dentales, logrando una sonrisa equilibrada, funcional y natural.


Caso: Rehabilitación completa con implantes y prótesis fija de zirconio
Se realizó una rehabilitación integral de ambas arcadas mediante la colocación de implantes con cirugía guiada y la posterior instalación de prótesis definitivas de zirconio con barra Blender. En este caso, no se realizó carga inmediata, priorizando la integración óptima de los implantes y la estabilidad a largo plazo del tratamiento.


Caso: Rehabilitación completa con sistema Immediate Smile
Cecilia llegó a Clínica BR Dental buscando una solución definitiva para su arcada superior. Realizamos su tratamiento con nuestro sistema Immediate Smile, colocando implantes con carga inmediata para que pudiera sonreír desde el primer día. Tras la fase de óseointegración, finalizamos con una prótesis definitiva de zirconio con barra Blender, devolviéndole estética, funcionalidad y confianza.


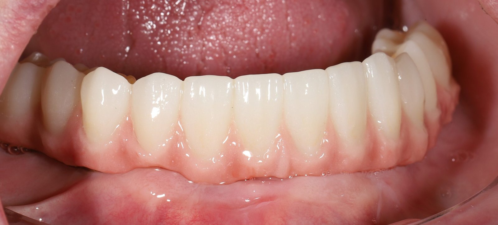
Caso: Rehabilitación completa de arcada inferior con prótesis fija de zirconio
Recuperar una sonrisa completa empieza por una buena base. En Clínica BR Dental Móstoles realizamos una rehabilitación integral de la arcada inferior con 6 implantes y una prótesis fija de zirconio con barra Blender, una de las soluciones más avanzadas y estéticas en implantología. Gracias a este tratamiento, el paciente ha recuperado estabilidad, función masticatoria y una sonrisa totalmente natural, con un resultado duradero, resistente y de acabado excepcional.


Caso: Rehabilitación completa con coronas de zirconio sobre dientes
De una boca con múltiples problemas funcionales y estéticos a una sonrisa sana, armónica y duradera. A Filip le realizamos una rehabilitación completa con coronas de zirconio, comenzando por saneamiento bucal mediante endodoncias y reconstrucciones, seguido de provisionales para la adaptación gingival y finalizando con las coronas definitivas de zirconio, que devolvieron funcionalidad, estética y la confianza de sonreír sin complejos.


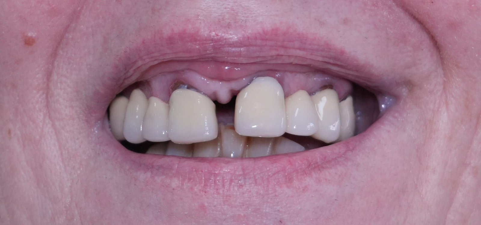
Caso: Sustitución de prótesis híbrida por prótesis fija de zirconio
Mireya acudió a Clínica BR Dental Móstoles cansada de los problemas con su antigua prótesis híbrida superior, que se rompía con facilidad y le impedía comer con confianza Sustituimos su prótesis por una prótesis fija de zirconio con barra Blender, devolviéndole la seguridad al masticar, mejorando la estética y naturalidad de su sonrisa y permitiéndole volver a disfrutar sin limitaciones.


Caso: Rehabilitación completa con sistema Immediate Smile
El paciente acudió en busca de recuperar su sonrisa y volver a disfrutar de una buena función masticatoria. Realizamos una rehabilitación completa de ambas arcadas con nuestro sistema Immediate Smile, colocando los implantes y una prótesis provisional fija el mismo día de la cirugía. Tras la fase de integración, se colocaron las prótesis definitivas, consiguiendo una sonrisa natural, funcional y duradera.


Caso: Rehabilitación superior con sistema Immediate Smile y rehabilitación posterior inferior con implantes
Realizamos una rehabilitación completa de la arcada superior mediante nuestro sistema Immediate Smile con carga inmediata, permitiendo al paciente disfrutar de dientes fijos desde el primer día.
En la arcada inferior, rehabilitamos los sectores posteriores con implantes y coronas de zirconio sobre aditamentos, logrando una sonrisa equilibrada, funcional y estéticamente natural.


Caso: Rehabilitación completa de arcada superior con sistema Immediate Smile
Realizamos una rehabilitación integral de la arcada superior mediante nuestro sistema Immediate Smile, que permite colocar los implantes y una prótesis provisional fija en el mismo día.
Un procedimiento que devuelve funcionalidad, estética y una sonrisa renovada desde el primer momento.


Caso: Rehabilitación mixta con coronas de zirconio sobre dientes y sobre implantes
Realizamos una rehabilitación mixta, combinando coronas de zirconio sobre dientes naturales y coronas de zirconio sobre implantes, logrando una sonrisa uniforme, funcional y altamente estética.
Una solución resistente y personalizada que devolvió al paciente comodidad, estabilidad y una apariencia completamente natural.


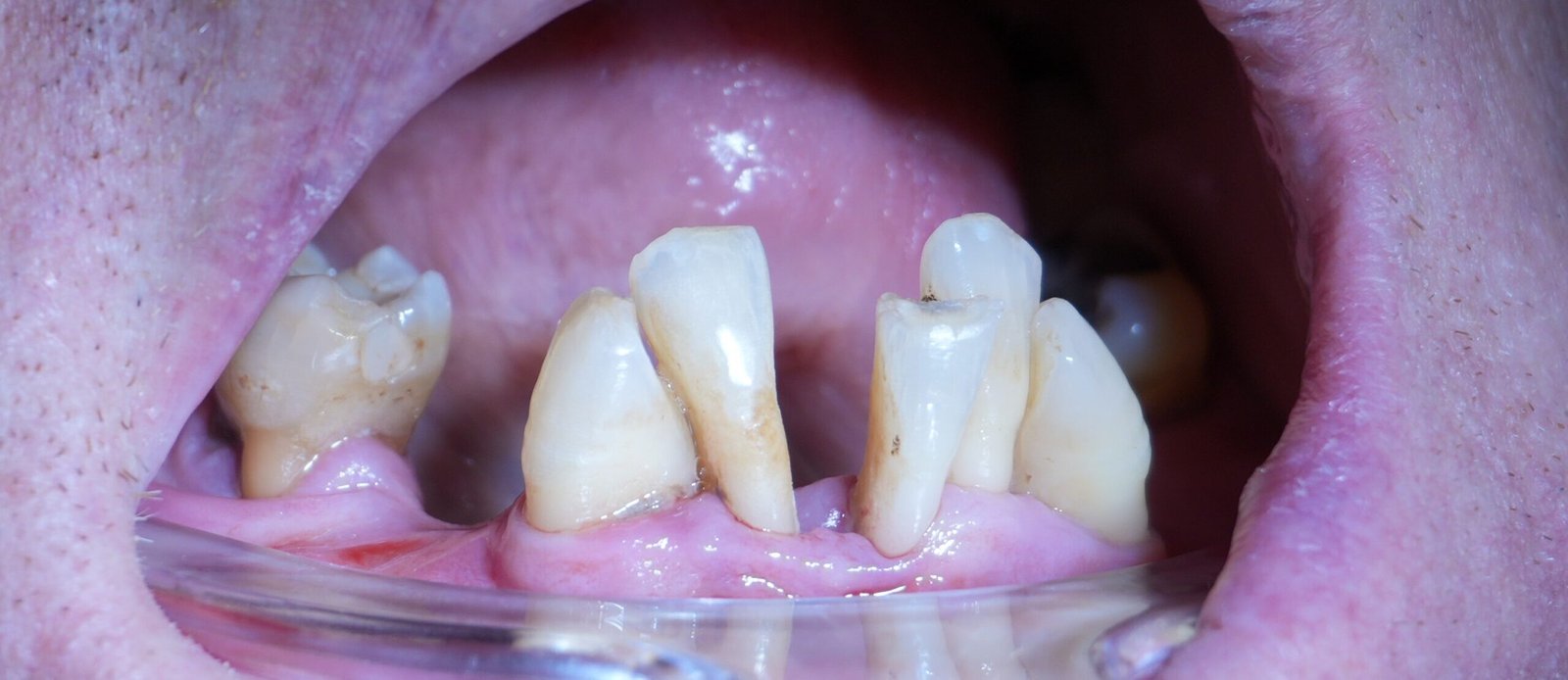
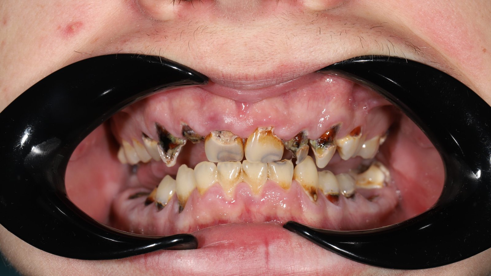
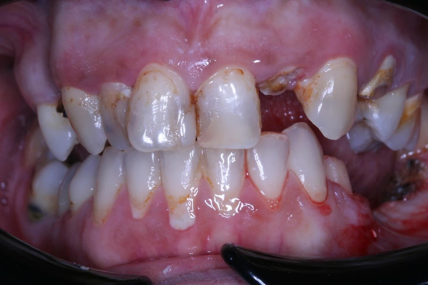
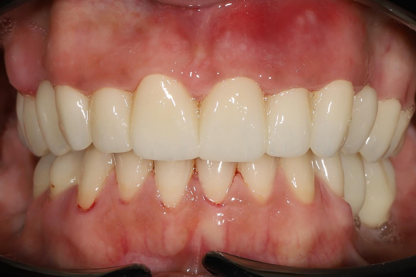
Caso: Rehabilitación completa superior e inferior con prótesis fija de zirconio sobre implantes
Nico llegó con prótesis parciales y prótesis sobre implantes mal ajustadas, además de dientes en muy mal estado.
Tras extraer las piezas dañadas y retirar las antiguas prótesis, aprovechamos los implantes ya oseointegrados para colocar una prótesis provisional fija, permitiendo la correcta cicatrización y recuperación de encías.
Un mes después, finalizamos su tratamiento con dos prótesis fijas de zirconio con barra Blender para ambas arcadas, devolviéndole una sonrisa estable, funcional y completamente renovada.
¿Con qué podemos ayudarte?
Información de contacto
Rellena el formulario
¿Tienes alguna duda o necesitas asesoramiento? Un miembro de nuestro equipo estará encantado de poder ayudarte